歯石除去、クリーニングが大事

川崎市多摩区登戸・向ヶ丘遊園にある歯医者、カワシマ歯科医院では、歯石がついて、歯茎からの出血や腫れたりする歯周病の検診・治療に力を入れています。歯周病は成人の約8割の方が罹患している歯ぐきの病気で、歯を喪失する最大の原因です。 しかし、予防により、かなり防ぐことのできる病気でもあります。歯周病は早期治療がカギです。歯石を取りましょう。保険診療対応。
成人の約8割が歯周病

歯周病は、成人の約8割の方がかかっており、歯を失う大きな原因となっています。むし歯とともに、気を付けなければならない歯ぐきの病気です。しかし、ほとんど自覚症状が乏しく進行して、多くのかたが歯を失っています。歯石がついていることも知らない人がほとんどです。
歯周病の自覚症状
自覚症状はほとんどなく、気づいていないことが多いです
□ 歯石がついている
□ 歯ぐきから出血する
□ 歯ぐきが腫れる
□ 口臭がする
□ 歯がグラグラする
□ 歯がしみる
□ 歯が長くなった
□ 歯ぐきから、黄色い膿が出る
□ 歯が長くなった
この様な症状があれば、歯周病な可能性がありますので、ご相談ください。
歯周病の症状

このような症状・お悩みに…
歯石・歯ぐきの腫れ・痛み・出血・歯がぐらぐらする・ぐらついている・歯ぐきが下がってきた・歯が長くなってきた 口臭がする
お口の中を不潔にして、歯に歯石を付着させて歯肉(歯茎・歯ぐき)や顎の骨が無くなっていく病気、歯周病です。大変多くの人が罹っていますが、口腔内に自覚症状はほとんどありません。歯石が付着して歯肉から出血したり、歯がグラグラしていたら要注意です。かなり進行しているかもしれません。口臭の原因にもなります。喫煙などの生活習慣や糖尿病などの全身の病気と深い関係があります。歯科治療を始めましょう。
歯周病の進行
歯周病の治療
先ずは歯科医院で検診を受けましょう。歯石の有無、歯周ポケットの深さや歯の動揺度の検査、レントゲン検査です。これにより歯周病の進行がどれくらいかがわかります。どういった治療、予防のプランがたちます。進行が進むほど治療が困難になり、抜歯するしか方法がなくなります。歯石除去が、基本です。
当医院の歯周病の治療
ご自分で歯磨きは、上手、下手あるにせよなさっていると思います。これをセルフケア といいます。歯磨きはしているのに・・・。という方は多いのですが、これでは足りません。歯石が取れません。歯周病の巣となる歯周ポケットはご自分の歯磨きだけでは、きれいになりません。
さらに、歯科医院で行うプロフェッショナルケア が必要です。磨き残すところや歯周ポケットを中心に歯の全体をクリーニングします。細菌の塊を手用器具や超音波で徹底的に歯石除去します。治療回数は、1~数回かかります。保険適応です。定期検診を続けることにより、細菌が減り、出血が治まり、歯肉が健康になっていきます。
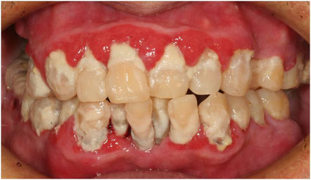
歯石の除去、歯石取り





歯石が大量に付着した口腔内。ほとんど歯を磨かないそうです。歯石・歯垢を除去しました。今後、ブラッシングを継続すれば、健康な歯茎に回復します。
歯周病は最終的に歯がぬける病気です

この患者さんは、歯周病で歯を全て失いました。歯をあまり磨かず、歯石も溜まる一方で、歯茎が腫れるのを繰り返して、その場しのぎでした。歯を数本づつ抜いては、入れ歯を作り変えることの繰り返し。色々な事情もあるかもしれませんが、こうなると入れ歯で物を美味しく食べられず、認知症や脳梗塞、心筋梗塞のリスクもあがります。
歯周病と全身の病気
歯周病は全身に影響することが、分かってきました。歯周病が進行すると毒素や炎症に関係する物質が生み出され、歯茎が悪化するだけでなく、血液中に入って色々な病気に悪影響を及ぼします。歯石が歯周ポケットに入り込んでいます。
骨粗鬆症、肺炎、低体重児出産、糖尿病、心臓病、動脈硬化、高血圧、高脂血症などの病気と深く関係があります。
歯周病と糖尿病
歯周病と糖尿病は深く関連しています。歯周病になると、歯周病菌の毒素や炎症に関わる物質が増加して、インスリンの働きが弱まります。糖尿病の患者さんは、炎症に関係する物質が増えて、インスリンの働きがさらに弱まり、血糖値が高くなると、体の抵抗力が弱くなり、歯周病菌に感染しやすくなります。そうすると、炎症に係る物質がさらに増加して、歯周病が進行するといった悪循環がはじまります。この悪循環を断ち切るため、歯周病の治療をして、お口の中の環境を改善すると、インスリンの働きを弱める物質が減って、糖尿病の症状を改善させる可能性がでてきます。
よくある質問
1,歯周病が手遅れになる症状は?
歯周病は、あまり自覚症状が無く進行していきます。歯磨きをすると血が出る、しみる感じがするといった症状から始まり、歯茎が浮いた感じ、違和感がするといった症状になります。腫れてきたり、グラグラしてくると、かなり進行しているかもしれません。
2、歯周病の治療回数は、どの位かかりますか?
原因である細菌の塊、歯石を除去するのに、少ない方で1回、多い方で6回程かかります。その間に、はみがき指導などをします。保険治療で全てできます。その後は、ブラッシングしていても、また細菌、歯石が付着してくるので、1~3か月間隔の継続的な治療が終了必要です。
3,歯周病は自然に治ることはありますか?
歯肉がごくわずかに腫れているだけなら、ブラッシングを十分にして治癒することもあるかもしれませんが、残念ながら歯周病は自然治癒しないと考えて下さい。
4,歯周病は完治しますか?
歯周病の治療をきちんと受けると、歯肉の炎症は収まり、歯を支える骨の減少は落ち着きます。後は、ご自分のセルフケアと定期的なプロフェッショナルケアで、歯肉の健康を維持することになります。定期検診が重要です。炎症は収まっても、減少した歯を支える骨は元の状態には戻りません。骨を再生する手術もありますが、全く元の状態に戻すことは難しいです。
5,歯周病の治療は、保険がききますか?
歯周病の治療は、保険でほとんどできます。最先端の手術や、健康保険で認めていない薬剤を使用を希望するときは、自費診療になります。




